第二节 烧伤湿性医疗技术深Ⅱ度烧伤皮肤 再生修复过程及组织学表现
作者:中国中西医结合学会烧伤专业委员会 出版社:中国医药科技出版社 发行日期:2000年6月 
5-2-1 伤后第1天,表皮凝固性坏死,真皮浅层胶原纤维变性 HE×100

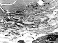
5-2-2 伤后第1天,毛细血管内皮细胞核固缩,管腔内血液凝集和瘀滞 TEM×6000

5-2-3 伤后第3天,表皮细胞空泡化,真皮浅层胶原纤维玻璃样变,真皮内散在炎细胞浸润 HE×100

5-2-4 伤后第5天,真皮浅层组织液化性坏死、剥落 HE×100

5-2-5 伤后第5天,胶原纤维相互融合,其间的细胞已崩解 TEM×6000

5-2-6 伤后第10天,残存真皮组织再生 HE×100

5-2-7 伤后第10天,创面真皮层汗腺增生,出现大量的上皮干细胞和炎性细胞 HE×1000

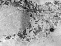
5-2-8 伤后第10天,皮肤附件上皮细胞成簇分布,核仁边集,内质网扩张,胞质内含较多张力原纤维 TEM×6000

5-2-9 伤后第15天,创面真皮深层的附件上皮自深处向表面垂直生长,平皮后呈舌状向创面爬行、覆盖 HE×100

5-2-10 伤后第15天,成纤维细胞合成代谢活跃 HE×100

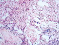
5-2-11 伤后第20天,大部分创面已由复层鳞状上皮覆盖,创面真皮层内可见增生活跃的成纤维细胞和新生毛细血管 HE×100

5-2-12 伤后第22天愈合,新生皮肤的结构同正常皮肤 HE×100

5-2-13 愈后:表皮与真皮之间完整的真皮-表皮连接 TEM X 8000

5-2-14 愈后新生皮肤真皮内纤维细胞呈常态,胶原纤维粗细均匀,排列有序,达生理性愈合 TEM×10000

5-2-15 深Ⅱ度创面修复愈合后的皮肤大体形态,其表现与未损伤皮肤一致









